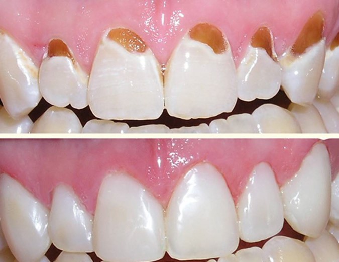
Hàn răng
Hàn răng (còn gọi là trám răng) là phương pháp sử dụng vật liệu để trám mà không hề gây cho bạn cảm giác đau hay khó chịu. Đây là phương pháp được nghiên cứu là không gây hại cho cơ thể.

Hàn răng được dùng trong những trường hợp
- Sâu răng.
- Răng bị gãy hoặc mẻ.
- Mòn men cổ răng.
- Răng bị ngả màu.
Có 3 phương pháp chính khi hàn răng. Để lựa chọn cách nào phù hợp khi hàn răng sứt mẻ, cần tuân thủ 3 tiêu chí sau:
- Chất liệu hàn phải có độ bám dính tốt, bền chắc, khó bị bong khi hoạt động.
- Màu sắc nên cố gắng càng giống răng gốc càng tốt, tránh phát hiện ra dấu hiệu các mối hàn.
- An toàn với cấu trúc sinh học của hàm, nướu và các cấu trúc trong khoang miệng.
Hàn bằng chất liệu kim loại

Ưu điểm
- Rẻ, chịu lực nhai tốt, bảo vệ men và ngà răng không tổn hại
Nhược điểm
- Xỉn màu theo thời gian, mất thẩm mỹ. Có thể ê buốt khi ăn đồ nóng lạnh.
Hàn bằng chất liệu silicat

Ưu điểm
- Giá hợp lý, miếng hàn bền bỉ, không lo bong miếng hàn khi nhai thức ăn.
Nhược điểm
- Khả năng chịu lực không cao và dễ bị mài mòn.
Hàn bằng chất liệu composite (thường dùng trong hàn thẩm mỹ)

Ưu điểm
- Màu đẹp, giống màu răng tự nhiên.
- Phù hợp hàn trám mọi vị trí răng.
- Lực nhai tốt, sử dụng bền lâu.
- Thoải mái khi ăn uống.
- Không xỉn mất màu, yếu tố thẩm mỹ cao
Nhược điểm
- Độ chịu lực ban đầu không bằng phương pháp hàn răng kim loại.
- Khi mới hàn có cảm giác ê, hơi buốt.

Tại Nha khoa Dr.Win, tùy từng trường hợp cụ thể, bác sĩ sẽ chỉ định chất liệu hàn phù hợp cho bạn.
Thời gian hàn tùy thuộc vào số lượng răng bị sâu, trung bình khoảng 10 – 15’/răng.
Quy trình điều trị tại Nha khoa Dr.Win
- Bước 1: Khám tổng quát tình trạng răng miệng và điều trị cần thiết trước khi thực hiện trám răng.
- Bước 2: Bác sĩ sẽ tiến hành vệ sinh, sát trùng, sát khuẩn răng miệng, đặc biệt là vị trí trám răng
- Bước 3: Đưa chất gắn trám lên răng sau đó tạo hình chất trám vừa khít với vết răng hỏng, giống răng thật và thẩm mỹ.
- Bước 4: Sau khi tạo hình, bác sĩ sẽ dùng đèn chiếu laser trong 30-45 giây, kích hoạt chất trám giúp gắn chặt với răng bền vững.

Bảng giá hàn răng tại Nha khoa Dr.Win
| DỊCH VỤ | ĐƠN VỊ | CHI PHÍ (VNĐ) |
| Hàn/trám tạm | Răng | 100.000 |
| Hàn/trám răng sữa | Răng | 100.000 |
| Hàn/trám răng vĩnh viễn(Glass Inomer Cement/Fuji/ Composite) | Răng | 200.000 |
| Trám cổ răng | Răng | 200.000 |
| Hàn/trám răng thẩm mỹ LASER TECH, tái tạo thân răng. | Răng | 500.000 |
| Hàn răng thẩm mỹ vỡ, mẻ. | Răng | 500.000 |
Với giá thành hợp lý, chất lượng dịch vụ chu đáo và hoàn hảo. Chúng tôi tự tin và tự hào là địa chỉ tin cậy hàng đầu chăm sóc nha khoa cho gia đình bạn với phương châm phục vụ:
“Khám kỹ lưỡng – Tư vấn rõ ràng – Điều trị nhẹ nhàng – Bảo hành thấu đáo”.

Ưu điểm chỉ có khi hàn răng tại Nha Khoa Dr.Win
Kỹ thuật này không quá phức tạp, tuy nhiên, nếu không thực hiện đúng, vẫn có thể gặp tình trạng bong tróc, đau nhức, thẩm mỹ không cao…
Nha Khoa Dr.Win được xây dựng và hoạt động theo mô hình của bệnh viện nha khoa, sẽ là địa chỉ mang lại kết quả hàn trám hài lòng cho bạn.
- Tại Nha Khoa Dr.Win, trực tiếp thăm khám, tư vấn và hàn trám răng cho bạn là các bác sĩ giỏi, tay nghề cao, có trên 10 năm kinh nghiệm.
- Đảm bảo đa dạng chất liệu, đáp ứng cao nhất nhu cầu của từng khách hàng.
- Ứng dụng công nghệ Laser Tech, mang lại hiệu quả phục hình cao, chiếc răng đảm bảo được cả thẩm mỹ lẫn chức năng ăn nhai.
- Thực hiện theo quy trình hiện đại, với hệ thống máy móc, dụng cụ nha khoa chất lượng cao.
- Thời gian thực hiện nhanh chóng.
- Chất lượng dịch vụ vượt trội với đội ngũ nhân viên tư vấn, chăm sóc nhiệt tình, tận tâm.
Lựa chọn hàn trám răng với công nghệ mới tại Nha Khoa Dr.Win, bạn có thể yên tâm về kết quả nhận được. Nếu còn bất cứ băn khoăn nào, tốt nhất là bạn nên dành thời gian đến tư vấn và trải nghiệm trực tiếp chất lượng dịch vụ tại đây. Hoặc nếu có thắc mắc, bạn vui lòng gọi đến chúng tôi để được bác sỹ tư vấn miễn phí 24/7 nhé!